Twoje dziecko zapomina o noszeniu aparatu?
Zadbaj o jego zdrowy, prosty uśmiech bez codziennego przypominania.
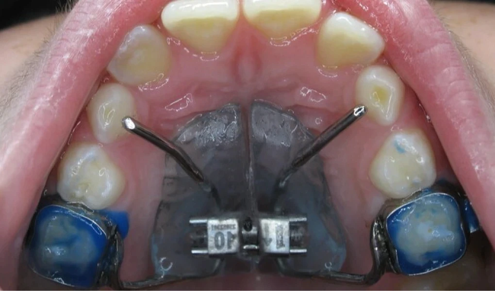
Marco Rosa to aparat stały – dziecko go nie zdejmie, nie zgubi, nie schowa. Pracuje 24/7 i dba o prosty, zdrowy uśmiech. Bez stresu. Bez pilnowania.


Dlaczego rodzice wybierają aparat Marco Rosa?
Koniec z pilnowaniem
Aparat jest zamocowany na stałe – dziecko nie zdejmie go i nie zgubi
Pracuje przez całą dobę
Zarówno w nocy, jak i w dzień, więc leczenie przebiega szybciej i bardziej przewidywalnie
Szybka adaptacja
Większość dzieci przyzwyczaja się w ciągu kilku dni
Komfort i brak ograniczeń
Można jeść, bawić się, uprawiać sport – bez przeszkód
Spokój dla rodzica
Zero stresu, czy dziecko „znowu zapomniało"
ORTOPROTEX – tu dzieci przestają bać się ortodonty
Rodzice trafiają do nas z polecenia i zostają z nami na całe leczenie!
Efekty leczenia – realne zmiany, krok po kroku
Każde dziecko jest inne, dlatego leczenie zawsze planujemy indywidualnie. Efekty obserwujemy na bieżąco, porównując:
zdjęcia
skany zębów
ustawienie zgryzu w kolejnych etapach
Dzięki temu rodzic dokładnie wie, co się zmienia i w jakim kierunku idziemy.


Leczenie rozpoczęte Marco Rosa, dokończone stałym.
Pacjent w fazie uzębienia mlecznego przygotowany aparatem Marco Rosa i Hyrax. Obecnie leczenie kończone stałym. Tylko taka kolejność mogła dać szansę na wyleczenie .
Konsultacja i diagnostyka
Spotkanie, podczas którego dokładnie zbadamy zgryz dziecka. Wykonamy zdjęcie pantomograficzne lub tomografię 3D oraz precyzyjny skan zębów. Dowiesz się, czy aparat Marco Rosa to odpowiednie rozwiązanie.
Założenie aparatu
Bezbolesne przyklejenie aparatu do zębów. Trwa to jedną wizytę. Dziecko i rodzic otrzymują dokładny instruktaż.
Instrukcje i zestaw do higieny w domu
Pokażemy Ci, jak aktywować aparat specjalnym kluczykiem (około 2 razy w tygodniu) oraz jak dbać o higienę na co dzień.
Wizyty kontrolne
Co 4, 6 lub 8 tygodni sprawdzamy postępy. Porównujemy zdjęcia i skany – widzisz, jak zgryz się zmienia.
Zakończenie etapu leczenia
Aparat nosi się zwykle około 12 miesięcy. Po tym czasie omawiamy dalsze kroki (jeśli będą potrzebne) lub po prostu cieszymy się efektem.
Opinie rodziców i dzieci
Najczęściej zadawane pytania rodziców
Czy aparat dla dzieci jest bezpieczny?
Tak. Jest to sprawdzona i bezpieczna metoda leczenia ortodontycznego u dzieci.
Czy dziecku będzie wygodnie?
Przy prawidłowej higienie efekt utrzymuje się od 3 do 5 lat.
Czy aparat powoduje ból?
Przy prawidłowej higienie efekt utrzymuje się od 3 do 5 lat.
Czy w aparacie można normalnie jeść i pić?
Przy prawidłowej higienie efekt utrzymuje się od 3 do 5 lat.
Czy dziecko może uprawiać sport?
Przy prawidłowej higienie efekt utrzymuje się od 3 do 5 lat.
Jak działa aktywacja aparatu?
Przy prawidłowej higienie efekt utrzymuje się od 3 do 5 lat.
Jak długo nosi się aparat dziecięcy?
Przy prawidłowej higienie efekt utrzymuje się od 3 do 5 lat.
Czy dziecko może samodzielnie zdjąć aparat?
Przy prawidłowej higienie efekt utrzymuje się od 3 do 5 lat.



